陈丹军医生介绍
在杭州瑞创口腔,有一位备受瞩目的种植牙骨干医生——陈丹军主事。他凭借不错的技术和丰富的经验,为众多患者解决了牙齿缺失的困扰。接下来,让我们一起深入了解这位非凡的医生。

陈丹军主事个人资质
陈丹军主事是拥有正规执业资格的整形外科医师,大家可以放心找他看诊!

陈丹军主事个人资料及简历
陈丹军主事从事口腔领域行业已超过10年,在种植牙领域积累了深厚的专精知识和丰富的临床经验。他不断学习和研究国内外精良的种植牙技术,积极参加各类学术交流活动,与同行分享经验、探讨技术难题,始终保持着对口腔种植领域前列知识的敏锐洞察力。他致力于为患者提供良好质、更适合的口腔种植方案,帮助患者修复牙齿功能和美观。

陈丹军主事种植牙水平怎么样可靠吗?
陈丹军主事在种植牙方面的水平非常可靠。他提倡微创种植技术,这是一种精良的种植理念,不需要翻瓣和切开就能将人工牙根植入,大大减少了患者的痛苦和术后修复时间。这种技术对医生的操作精细度和经验要求极高,而陈丹军主事凭借多年的实践和不断的钻研,已经熟练掌握了这一技术。他能够根据患者的口腔状况、牙槽骨条件等因素,制定个性化的种植方案,确保种植成效的稳定性和持久性。此外,他还擅长处理各种复杂的种植病例,如all - on - 4等技术,为许多牙齿缺失重度的患者带来了福音。

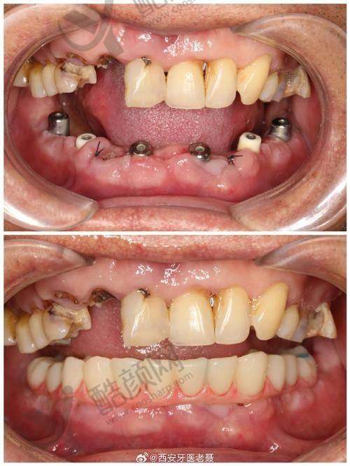
陈丹军主事种植牙实例
实例一:患者李先生,由于长期的牙齿缺失,导致咀嚼功能重度下降,面部也出现了一定程度的凹陷。陈丹军主事为他进行了详细的口腔检查和评估后,制定了all - on - 4即刻种植方案。在手术过程中,陈主事凭借不错的技术,顺利完成了种植体的植入。术后李先生修复良好,特别快就修复了正常的咀嚼功能,面部外观也得到了明显改善,整个人看起来年轻了许多。
实例二:张女士因意外导致牙齿脱落,希望能够尽快修复牙齿的美观和功能。陈丹军主事为她采用了微创种植技术,手术过程中几乎没有出血,张女士也没有感到明显的疼痛。术后,张女士对种植成效非常满意,称赞陈主事技术高超。

陈丹军主事在哪家医院
陈丹军主事就职于杭州瑞创口腔连锁门诊部。该门诊部位于杭州市萧山区北干街道金城路389号,地理位置优越,交通便利。门诊部拥有精良的口腔诊疗设备和舒适的就医环境,为患者提供了良好的就诊体验。

陈丹军主事怎么预约?
患者可以通过以下几种方式预约陈丹军主事的门诊:一是拨打杭州瑞创口腔连锁门诊部的法定电话,告知工作人员自己的需求和预约时间;二是在医院的法定网站或微信公众号上进行在线预约,填写个人信息和预约需求;三是直接前往医院的前台,向工作人员说明要预约陈丹军主事的门诊,工作人员会为您办理预约手续。

陈丹军主事口碑和评价
评价一:“陈主事技术真的太棒了!我之前一直担心种植牙会特别疼,但是在陈主事这里,手术过程几乎没有什么感觉,术后修复也特别快。现在我的牙齿就像自己的真牙一样,太感谢陈主事了!”
评价二:“陈丹军主事非常专精和负责。他会耐心地给我讲解种植方案,让我对整个过程有了清晰的了解。而且手术成效非常好,我特别满意。”
评价三:“我是朋友推荐来的,说陈主事种植牙技术好。果然名不虚传!他的微创种植技术真的特别厉害,我几乎没有遭什么罪就种好了牙。现在吃饭也香了,真心推荐!”

陈丹军主事项目价格表参考
韩国进口种植牙:1970元左右;瑞士士卓曼种植牙:3770 - 6970元左右;韩国半口即刻负重种植牙:32190元左右;瑞士iti种植牙:8800 - 12500元左右;奥齿泰种植体特价4999元(含钴铬牙冠)。
总之,杭州瑞创口腔的陈丹军主事在种植牙领域有着出色的技术和良好的口碑。如果您有牙齿缺失的问题,不妨选择陈丹军主事,相信他会为您带来满意的治疗成效。




